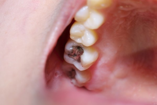
Amalgamfüllungen
AMALGAM
Das silberfarbene Amalgam besteht aus einer Mischung der Metalle Silber, Kupfer, Zinn und Quecksilber. Als ein sehr kostengünstiger Werkstoff dient Amalgam zur Regelversorgung, die von der gesetzlichen Krankenkasse bezahlt wird.
Das gesteigerte ästhetische Zahnbewußtsein sowie die stark umstrittene Meinung Amalgam als Zahnfüllungsmaterial einzusetzen, führten dazu, dass dieses Füllungsmaterial nur noch selten seine Anwendung in unserer Praxis findet. Wir verwenden es nur noch auf speziellen Wunsch des Patienten.
